|
Μετά τις τοποθετήσεις μόνιμων βηματοδοτών, για πρώτη
φορά εφαρμόστηκε επιτυχώς στο Αιμοδυναμικό εργαστήριο της Καρδιολογικής
κλινικής η περιστροφική αθηρεκτομή (Rotablator) από τους
επεμβατικούς καρδιολόγους Αντώνη Παπαδόπουλο, Αντώνη Σαμαρά και Παύλο Ροδίτη,
με την υποστήριξη του Διευθυντή της κλινικής Dr Γιάννη Βογιατζή.

Ο αθηροτόμος (σχήμα 1) είναι ένα τεχνητό μέσο με τη
βοήθεια του οποίου ο Καρδιολόγος μπορεί να λειάνει την σκληρή επιφάνεια της
βλάβης και να διευρύνει τον αυλό του αγγείο. Αποτελείται από μια συσκευή με
περιστρεφόμενη κορυφή με διαμαντάκι που περιστρέφεται με ταχύτητες που
κυμαίνονται περίπου στις 150.000 στροφές ανά λεπτό (σχήμα 2).

Επιλέγεται
να χρησιμοποιηθεί σε στενώσεις που η πλάκα που έχει σχηματιστεί στο
στεφανιαίο αγγείο είναι πολύ σκληρή και δεν είναι δυνατόν να διανοιχτεί με
αγγειοπλαστική. Η Η εφαρμογή έγινε σε ασθενή 75 ετών, ο οποίος
μεταφέρθηκε από γειτονικό περιφερειακό νοσοκομείο στην Καρδιολογική κλινική
της Βέροιας, λόγω ιδιαίτερης δύσπνοιας μετά από ήπια σωματική
κόπωση. Από τον έλεγχο διαπιστώθηκε καρδιακή ανεπάρκεια και
προγραμματίστηκε στεφανιογραφία η οποία ανέδειξε βλάβη στο κεντρικό αγγείο
της στεφανιαίου δικτύου που παρουσίαζε έντονη εναπόθεση ασβεστίου.
Έγινε
προσπάθεια αγγειοπλαστικής με συμβατικές τεχνικές αλλά δεν απέβη επιτυχής
λόγω μη δυνατότητας διάτασης της βλάβης που θα δημιουργούσε κίνδυνο πρώιμης
επαναστένωσης της ενδοαρτηριακής πρόθεσης (stent). Έτσι προγραμματίστηκε εκ νέου προσπάθεια αντιμετώπισης της
με την τεχνική της περιστροφικής αθηρεκτομής (rotablation). Αρχικά η στένωση προσπελάστηκε από σύρμα οδηγό μέσω του οποίου
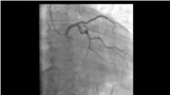
προωθήθηκε μέχρι το επίπεδο της βλάβης ο αθηροτόμος (rotablator). Μετά την επιτυχή διάνοιξη τοποθετήθηκε ενδοαρτηριακή πρόθεση (σχήμα
3).

Ο ασθενής δεν ένοιωσε κάποια ιδιαίτερη δυσφορία και παρέμεινε για
παρακολούθηση στη στεφανιαία μονάδα τις επόμενες ώρες ενώ την επόμενη ημέρα
πήρε εξιτήριο χωρίς άλλα προβλήματα.
Η πρώτη επιτυχής επέμβαση περιστροφικής αθηρεκτομής,
αποτελεί μία ακόμα πρωτοπορία και μια ακόμα σημαντική επιτυχία για την
Καρδιολογική Κλινική του Νοσοκομείου Βέροιας, μετά και την πλήρη και συνεχή λειτουργία του αιμοδυναμικού, το
οποίο, στο τέλος Μαίου, συμπληρώνει 5 χρόνια
από την έναρξη του, δικαιώνοντας τις προσδοκίες τόσο του διευθυντή του
Τμήματος, όσο και του ιατρικού του δυναμικού.
|